• 康贝佳首页
  • 欢迎来到康贝佳官方网站,专注口腔健康,笑出精彩人生!咨询热线:0411-83790161
  • 关于我们:

当前位置: 首页 > 牙结石

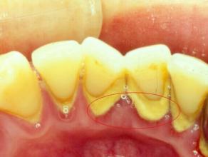
牙结石

Dental implants

免费咨询电话:
0411-83790161

QQ咨询在线咨询
预防牙结石的方法有哪些?
来源:康贝佳口腔 发布时间:2018-04-13 14:43

  预防牙结石的方法有哪些?由于食物残渣长期在牙齿表面堆积,不及时清理,就容易形成牙结石,影响口腔健康。大连康贝佳口腔医生介绍:牙结石是可以预防的,那么预防牙结石有什么方法?下面就让大连康贝佳口腔医生为您详细介绍。

牙洁石如何治疗好?在线咨询

    预防牙结石的方法有哪些?

  1、人们要想有效的预防牙结石的发生,这时就需要人们保障在早、晚刷牙。并且还要在饭后漱口,同时对于有需要的使人们来说,还可以采用牙线的方法进行洁牙。

  2、如果预防牙结石失败,这时同样也是能使用洗牙的治疗办法来进行治疗。并且人们在进行洗牙的方法还能对口腔内的牙结石达到治疗粉碎的效果,同时,在治疗时不会对人们又的副作用情况发生。

  医生提醒:进行牙结石的时候,一定要到正规的口腔医院治疗,从而保障了治疗后所拥有的效果,而且还不会对口腔有的危害。

  大连康贝佳口腔在洁牙方面所使用的是高频声呐洁牙仪,该技术能进行治疗解决牙结石的发生,同时洁牙还可以修复口腔内的牙周病情况,让患者的牙齿更健康。

  预防牙结石的方法有哪些?综上所述,相信您对此有了一定的了解,保障口腔清洁,可以很好的维护口腔健康。如果您还有什么疑问,欢迎随时与我院在线咨询沟通,为您及时解决牙齿问题。

x