- 当前位置: 首页 > 种植牙
- 种牙难种牙贵?在这里通通解决
- 来源:康贝佳口腔 发布时间:2019-02-02 17:19
-
俗话说“活到九十九,全靠好牙口”。健康幸福的晚年需要一口好牙来支撑。随着生活水平的提高,国人的口腔保健意识也随之增强,但还是有不少老年人对于缺牙不够重视。
骨量不足难种牙
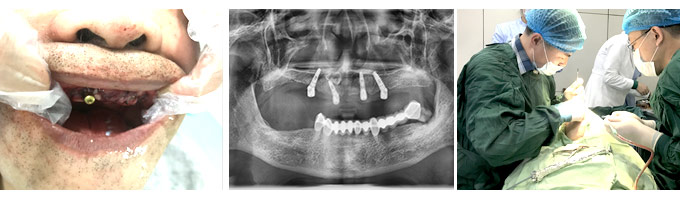
今年79岁的刘大爷家住在西岗区,近两年,陆陆续续掉了5颗牙,最初时老人对于掉牙齿不以为意,认为种牙又贵又麻烦,不愿意去种牙。随着牙齿越来越少,吃饭也没啥胃口,而且记忆力越来越差,最终在家人的劝说下,去口腔医院种牙,但是由于缺牙时间太长,跑了多家口腔机构,医生都说他的骨质不好,要先植骨,不然没法种。刘大爷对这种方案表示失望,因为他不想植骨。最终,刘大爷选择了全国连锁康贝佳口腔。

经过详细的口腔检查后,我发现刘大爷的牙槽骨萎缩严重,还患有骨质疏松。牙周病会让牙槽骨萎缩、骨质流失、牙松脱落。牙周病也会影响种植牙成活率,应先治牙周病,再种牙。
做完牙周治疗,我们为刘大爷制定了即刻种植方案,这个方案是专为50岁以上的中老年人设计的,最大的优势是对骨量的要求不高,不需植骨也能种牙,尤其适合牙槽骨条件不好,有骨质疏松的人群,且全程微创无痛,治疗时间短。术后,刘大爷表示后悔没早点来种牙,现在晚年幸福终于有了很大的保障,想吃什么就吃什么。

不植骨、省大钱
即刻种植牙,是康贝佳口腔的特色种牙方式。它的特点是对骨量的要求不高,不需植骨也能种牙。而且当天种牙当天就有牙用。因为采用了体积更小的植体,医生在植入牙槽骨时更为精准;骨愈合面减小,骨结合也自然更快,这让种植牙手术变得简单、轻松!
种植牙到底贵不贵?算算就知道
目前市场上关于种植牙的价格,少则七八千,多则上万。我们以中等偏上的价格10000元/每颗计算,维护得当使用年限40年(也就是14600天),这样算下来,每天只需0.68元。

是不是超值!再告诉大家一个好消息,康贝佳口腔“中德意韩博士团牙缺失专项会诊”正在火热进行中,活动期间预约种牙,立享特惠,而且是国际大牌博士亲自种牙,技术有保障,坚固更好用。
世界种植牙最长使用寿命记录保持者
种植牙最长使用寿命的世界纪录由瑞典人Sven Johansson保持,已使用40余年。他是瑞典一位出租车司机。1967年,他做了种植牙手术,成为世界上第二位安装纯钛种植体的患者,时年42岁。如今,他已是91岁高龄,口中的种植牙一直固定良好。

那么,如何保障种植牙的长久使用呢
康贝佳表示,种植牙的使用寿命由医院资质、医生技术、诊疗设备、种植体品牌材料、维护保养五大因素决定,其中,医生的临床经验和种植技术至关重要。
康贝佳专注种植牙,5大制胜法宝,为每一例种植牙负责到底。
- 上一篇:牙齿缺失具体应该种几颗
- 下一篇:年后牙齿患上“春节病”?开年“救牙”长点心!


















