• 康贝佳首页
  • 欢迎来到康贝佳官方网站,专注口腔健康,笑出精彩人生!咨询热线:0411-83790161
  • 关于我们:

当前位置: 首页 > 种植牙

种植牙

Dental implants

免费咨询电话:
0411-83790161

QQ咨询在线咨询
德国精工种植开启种植牙新体验
来源:康贝佳口腔 发布时间:2019-01-20 16:22

  牙齿缺失看似影响不大,但如果不及时治疗就容易导致整个口腔的平衡被打乱,不但会让形象受损,还会影响老年人的正常饮食从而增加肠胃负担,进一步影响身体健康。如今随着生活水平的提高,越来越多老年人也意识到健康牙齿对于生活品质的重要性。

  据介绍,为了确保老年患者的种牙品质,康贝佳口腔推出了“ALL-ON 4”全新种植牙技术,解决了诸多种牙的疑难杂症,同时搭配精工种植工艺,为高龄老人种牙提供了全方位保障。

  种牙也要组团来?都盼望能享美食

  据悉,康贝佳联合沈阳报媒开展的“爱老敬老助无牙者实现8020梦”活动,受到了老年患者的广泛青睐。昨天,通过活动在康贝佳种完牙的60岁叶阿姨带着两个好朋友,79岁的林老伯和78岁的郑老伯来到了康贝佳接受种植牙的治疗。据叶阿姨介绍,自己也有过“无牙苦喝粥”的经历,种牙前她也是好几年没尝过肉滋味,直到遇见了康贝佳,郭晓强院长为自己种上了4颗牙后才摆脱了缺牙的苦恼。

  “50年代有牙吃不着好东西,如今70岁了有好东西却没牙吃!”林老伯和郑老伯长期受缺牙困扰,十分渴望拥有一口好牙。

  ALL-ON 4应对高难种牙 当天享口福

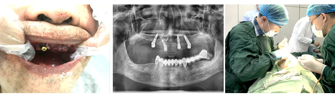
  由于林老伯和郑老伯属于全口缺牙,缺牙时间久,牙槽骨的状态并不乐观,所以郭晓强院长为打算利用康贝佳“ALL-ON 4”技术来帮两位老人进行牙齿修复手术。据郭晓强院长介绍,ALL-ON-4技术称为针对全口无牙颌者、疑难种植牙、高龄种植牙、即刻种植即刻负重的先进技术。只需4颗种植体就可以完成半口牙的修复,以此来完成缺牙的修复手术。

  考虑到二位老人的年龄问题,郭晓强院长在术前也是做足了功夫,经过详细的口腔CT检查,又经过术前的方案模拟种植,郭晓强院长才走上手术台,借助计算机导靶定位设备与自己多年的临床经验,将种植体以精确到毫米的距离植入患者口中,将创口控制在2mm以内,实现了微创种植、即刻负重的手术效果。不到两小时,先后为林老伯和郑老伯完成了种牙手术。

  “技术+植体”是成功要诀

  康贝佳种植医师介绍了关于种植方案设计的几个重要步骤。第一,考虑牙齿的咬合重塑,不好的咬合设计不仅使用不方便,还会造成牙龈损伤。第二,设计好种植牙角度和深度,避免口腔内的血管和神经,同时上颌不能影响到鼻腔,下颌不能影响到咽喉。第三,稳固性的把控,要确保种植牙能使用30年以上,维护好的能享用终生的种植效果。

  除此之外,“技术+植体”更是种牙成功的要诀,康贝佳精工种植采用前沿种植体系制造工艺,精雕出契合每一位患者口腔的种植体,搭配临床经验丰富的专科医生与先进的数字化设备,让每一台种植手术变得更容易,让每一位患者都能有全新的种植牙体验。

x