- 当前位置: 首页 > 烤瓷牙
- 烤瓷牙
- 来源:康贝佳口腔 发布时间:2016-11-10 16:26
-
烤瓷牙也叫烤瓷冠,全称是烤瓷熔附金属全冠,是一种对于牙体的的修复手段。烤瓷牙它是在缺损或缺失牙的部位,用铸造贵金属作为支撑的内核,再在其外部用烤瓷来达到与真牙的颜色和功能相仿的修复方法。
【烤瓷牙的材料种类】:
》》[在线这里]一对一在线解答烤瓷牙疑问;或直接拨打0411-83790161电话咨询》》
1、镍铬合金烤瓷牙:生物相容性差,一部份人会发生过敏现象,镍、铍元素的缓慢释放,会造成牙龈变色和口腔毒性,影响人体健康。在发达省级通常是禁用的,优点是价格低廉。所以我们不太建议患者做这种烤瓷牙牙齿美容。[在线问]
2、钴铬合金烤瓷牙:钴铬合金烤瓷牙是针对镍和铍的毒性而开发的,开始称之为“无镍无铍合金”。因为不含镍和铍,钴铬合金牙齿美容有很好的生物相容性,早用于骨科移植医疗,大量用来制作人工关节,一直被沿用至今。可以说钴铬合金是一种性价比很高的生物金属。[在线问医生]
3、纯钛烤瓷牙:钛具有良好生物相容性,对人体无毒,同时有良好耐腐蚀性,是目前发展较好的口腔科金属材料。[在线问医生]
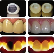
4、全瓷牙:近几年才开展的一种高科技的牙齿修复牙齿的方法,具有优秀密合的边缘、无牙龈炎症现象、对X线无阻挡等特点,生物相容性优于各种金属内冠,在临床上可得到长久的修复效果。[在线问]
【烤瓷牙适用症状】
烤瓷牙的适应症主要包括畸形牙、色素牙、烤瓷牙失败三大类。畸形牙包括牙齿不齐、牙齿稀疏、龅牙、虎牙、瓜子牙、老鼠牙等;色素牙包括中度、重度的氟斑牙、四环素牙等;而烤瓷牙失败选择牙冠则是明智的。
》》您的牙齿属于哪种问题?在线咨询,为您量齿打造美牙方案》》
牙冠相比传统烤瓷牙更坚固、牙龈不会出现黑线。很多医院和牙科诊所都开展有烤瓷牙修复,但是由于牙冠修复术需要一定的技术能力,对医生的水平和经验也有要求,因此并不是所有的医院都能够开展牙冠修复的。
【康贝佳·牙冠---传统烤瓷牙的优秀升级】
康贝佳口腔引进的牙冠是对传统牙冠技术上的突破,牙冠不仅可以让牙齿整齐,还可以改变牙齿颜色,矫正、美齿一步到位,真正实现了全面美牙一站式治疗。

【牙齿健康,康贝佳为您护航】
▲“康”即健康!中医认为,体质健壮、神清气爽、口齿伶俐是人类身心健康的三大表现!
▲“贝”即牙齿!古人用“齿如编贝”来形容人的牙齿,就像白色贝壳一样,整齐、洁白!
▲“佳”即美观!杜甫用“明眸皓齿”形容佳人之美,洁白的牙齿与明亮的眼睛一样动人!
康贝佳口腔是标准的数字化智能齿科机构,集医疗、科研、美容、种植为一体,以生态医疗为动力,数字齿科为支撑,不断引进精良的设备和先进的进口材料,汇集国内外众多口腔医学医生,在牙齿美容、牙齿种植、牙齿矫正、牙齿美白、口腔健康等领域均有专业建树!
》》烤瓷牙哪个医生好!在线这里咨询》》 咨询热线:0411-83790161



















